頭痛併眼動異常 應儘早就醫
頭痛併眼動異常 應儘早就醫(臺大醫院新竹分院提供)
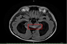
【新唐人亞太台 2020 年 09 月 23 日訊】15歲男孩因頭痛不適昏倒,被家人緊急送醫,經急診診斷疑為水腦合併癲癇,施以抗癲癇藥物治療。但男孩父母對癲癇病情仍有疑慮,故帶至臺大醫院新竹分院小兒神經科門診就醫。透過檢查,發現男孩眼動受限,眼睛無法往上看及往外側注視,醫師問診發現,他自小學四年級就開始頭痛,且因眼動受限而時常跌倒。經腦部核磁共振檢查確診為水腦併中腦腫瘤,立即安排手術治療。
臺大醫院新竹分院小兒部小兒神經科張寶玲醫師表示,在臨床經驗中,頭痛是病童最常抱怨的問題,尤其是小學高年級及國、高中學童;其中大部分為原發性頭痛,如偏頭痛及緊縮型頭痛等。然而,如小朋友有日漸增強或頻率增加之頭痛,且併有不對稱之神經學異常,如:單側肢體無力、抽搐、眼動異常、步態不穩或有全身性症狀,如:發燒或體重下降等,應注意有可能是「繼發性頭痛」,也就是明確病因所引起之頭痛,如:感染或腫瘤所致,提醒民眾應立即就醫治療。
除繼發性頭痛外,張寶玲醫師指出青少年常有「原發性慢性頭痛」,也就是偏頭痛及緊縮型頭痛的問題。青少年慢性頭痛常與心理狀態及生活習慣有關,如:壓力、憂鬱焦慮、睡眠障礙、阻塞性呼吸中止症或長時間使用3C產品且姿勢不良等引起。青少年頭痛不僅是生理問題,也會連帶影響課業表現、人際互動及生活品質,也易加重憂鬱、焦慮及造成抗拒就學、常請假等問題。
張寶玲醫師指出處理慢性頭痛患者除了要排除繼發性頭痛外,另需細心問診及評估病童心理及精神狀態,如情緒、同儕相處及課業問題等。針對頭痛患者之治療,除藥物治療外,非藥物治療方式可考量壓力處理技巧等。如果是因睡眠問題引起之頭痛,則需另作相關評估及處理睡眠問題。提醒家長,如果家中小朋友有長期頭痛問題,甚至影響人際關係,建議儘早就醫檢查!
相關新聞
-
諾羅病毒好發季節!網友整理6大症狀 噁心想吐最厲害
2023-04-15 15:58:32諾羅病毒傳染力超強,常常「一人得病,全家遭殃」,尤其冬春兩季更是諾羅病毒的好發季節,因此瞭解其相關症狀、進而盡早採取對應措施便更顯重要。《Social Lab社群實驗室》本次透過《OpView社群口碑資料庫》追蹤近3個月內「諾羅病毒症狀」相關話題的網路聲量,帶您了解網友熱議的6大諾羅病毒症狀。
-
三伏天飲三豆飲 簡單廉價功效良多|談古論今話中醫(311)
2025-03-04 15:05:12三豆飲是中國春秋戰國時期的著名醫學家扁鵲的著名處方,在中國已經流傳了幾千年。 三豆飲,顧名思義其中有三種豆子的組成,黃豆 、黑豆 、綠豆、 紅豆這四種常用又廉價的食物,利用它的屬性能搭配出各種不同的治療功能,對身體會有很好的幫助! 今天很高興邀請到林貴中醫師來到現場分享它們的妙用。
-
發燒一定感冒引起?壓力過大也可能導致心因性發燒
2019-12-30 19:07:32只要聽到發燒,大部分人都會聯想到感冒,當免疫細胞對抗來微生物時,身體大多會拉高體溫,然而發燒可能還有另一個原因,日本國際醫療福祉大學醫院心遼內科部長岡孝和提醒,心理壓力也會引起發燒,不但退燒藥效果不顯著,也可能伴隨著倦怠、頭痛、腹痛,想要緩解環境改善是關鍵。
-
愛生氣、鬱悶的人特別傷肝 拍打肝經馬上讓你心情舒暢! |談古論今話中醫(387)
2025-03-24 15:46:25常生氣、鬱悶的人容易得肝病,臉色容易青損損,全身虛累累!這一集我們邀請到國際東洋醫學會新任會長也是台灣中國醫藥大學中醫系講座教授林昭庚醫師來分享保肝之道
-
告別惱人的頭痛 中醫教你斷根法|談古論今話中醫(330)
2025-03-10 15:32:35有些人頭痛是因為緊張、壓力、睡眠、受涼或是吃了某種會引起過敏的食物,都可能引起頭痛,有些人痛起來會影響學習和工作效率。
-
坐骨神經痛、頭痛、腰背痛的福音~拍打這條經絡就對了 | 膽經 | 談古論今話中醫(386)
2025-03-24 14:30:25中醫講究養生,睡眠是養生重要的一環,睡覺要選對時間對身體才有幫助,為什麼說晚上11點到3點是睡覺的黃金期?睡覺與經絡有甚麼關係呢?打通膽經不但可以使大腿變瘦還可以治療坐骨神經痛、頭痛、腰背痛。
-
上班頭好痛!「1奇穴」3秒止痛!「這種坐姿」最易頭痛,洗頭髮不吹乾,冷氣直吹頭部,痛到猛抓頭髮,教你自癒法。女生生理期來,頭好痛!「1魚湯+1茶飲」止痛又補血 | 胡乃文開講Dr.HU_47
2020-08-28 17:39:47反覆發作的頭痛,讓你抓狂並且想要撞牆嗎?你知道嗎?治頭痛,是中醫的強項,其實,很多人往往都是頭痛治不好了,最後,才來找中醫醫治,沒有頭痛問題的人,也要仔細看,關鍵的時候,一招就能給身邊的人幫上大忙。
-
15位醫師加入團隊 台大新竹醫院陣容更堅強
2016-08-31 13:38:02秉持「提供優質醫療、發展教學研究、促進民眾健康」的使命,為提升醫療服務的廣度及深度,台大醫院新竹分院今年加入15位新血醫師,持續為照護鄉親的健康努力,提供優秀主治醫師,提供廣大的桃竹苗地區民眾享有更好、更完整的醫療照護服務。
-
A型鏈球菌咽喉炎 秋冬好發傳染力強
2016-11-24 19:32:33秋冬交替病毒感染猖獗,流行性感冒、腺病毒等病毒性感染的病症,以A型鏈球菌引起咽喉炎及扁桃腺炎,大人、小孩都會被感染到,開始只有流鼻水與發燒的情況,喉嚨疼痛,沒有喉嚨潰瘍或扁桃腺上化膿的情況,眼屎增多沒有發紅現象,很快家裡人也出現同樣症狀,包括發燒、咳嗽及流鼻水,常被誤疹為病毒性的咽喉炎治療
-
頭痛成因有所不同,一律吃止痛藥對嗎? |談古論今話中醫(66)
2015-12-30 19:53:06現在的人也許是因為緊張壓力大容易有頭痛的問題,頭痛中藥當然有專門的處方以及藥物來治療,這是所謂頭痛醫頭。但是如果用其他治療方式 比如說我們用針灸或者穴道取穴方式,有部分治療頭痛的穴道它是在手上或腳上的,這個就反而是一個頭痛醫手、頭痛醫腳而不是頭痛醫頭了。
-
神奇的扁鵲三豆飲 功效良多|談古論今話中醫(311)預告
2025-03-04 14:35:39神奇的扁鵲三豆飲 功效良多,三豆飲,顧名思義其中有三種豆子的組成,這些都是廉價的豆類,但是若能巧妙搭配運用,對身體會有很好的幫助!今天很高興邀請到林貴中醫師來到現場分享它們的妙用。
-
治免疫系統疾病 就按天星十二穴 |談古論今話中醫(218)
2015-12-30 11:26:15曲池善治肘中痛,合穀可治頭痛面腫。
-
連日高溫 南台灣熱病頻傳
2011-06-16 00:39:33連續好幾天的高溫,讓許多民眾不敵酷暑,因為暈眩、脫水、心悸等等的症狀求醫,另外像業務人員穿梭在冷氣間和大太陽底下,引發頭痛,或者是喝多了含糖飲料影響血糖,這種種的「熱病」症狀,在門診爆量。
-
貧血7大症狀!除了易累、頭痛頭暈 竟會造成視力受損
2024-01-18 16:37:19你常常覺得沒精神、容易頭痛或感到呼吸困難嗎?那有可能是「貧血」的症狀!根據病症的嚴重程度,從幾乎沒有症狀的輕微貧血,到可能危及生命的嚴重貧血都有,因此當有相關症狀時,能立即發現並予以適當的治療十分重要。
-
1奇穴解除頭痛、肩頸痛!運動痠痛、易抽筋者,2道鮮肉藥膳湯,舒筋又補血。想擁有漂亮的「天鵝頸、鎖骨線」,每天5分鐘「肩頸操+1動作」,遠離駝背,還可以實際感受瘦身效果! |胡乃文開講Dr.HU_41
2020-07-16 22:00:00我們長時間使用完電腦後,頭會一陣子疼痛,其實不是治頭痛,只要把你的肩頸舒緩了,就不會頭痛了。
-
莫名頭痛4年 雲南男取出顱內斷刀
2011-02-17 16:57:50雲南男子倪先生莫名頭痛4年醫生取出顱內斷刀 ,莫名頭痛4年 雲南男取出顱內斷刀
-
簡單有效!五大穴道治頭痛 一分鐘舒緩
2025-03-06 14:34:16頭痛人口越來越多,專家認為,與現今生活壓力指數升高有關。引起頭痛原因很多,疲勞、壓力、感冒、月經、失眠,或眼睛、鼻子、耳朵、牙齒的問題都可能導致頭痛,有九成以上的頭痛都是緊張性頭痛(張力型頭痛)與偏頭痛。按摩是自我保健的好方法,日常生活中頭痛突然發生時,你可以試試按壓以下5個穴位,能立即減緩疼痛,既簡單又有效。
-
肩頸腰痛?縮下顎一秒根本改善
2025-03-07 14:38:44肩頸痠痛、腰背痛、頭痛失眠可不是年長者的專利,久坐、久站族經常維持一個姿勢過久,是引發各種慢性疼痛的主要原因。身體長期處於歪斜狀態,會導致肩頸周邊的肌肉僵硬,引起各種酸痛,還會加速頸椎椎間盤和關節變形等問題,嚴重危害身體健康。
-
令人頭痛的『偏頭痛』 中醫有解方 | 談古論今話中醫(465)
2025-04-10 10:43:47根據統計,臺灣約15%的女性及5%的男性患有偏頭痛,女性患者約為男性的3倍,20至40歲的女性平均5人就有1人有偏頭痛。推估全臺約有180萬人深受偏頭痛所苦,而且多是正值青壯年的就業人口。 這一集很高興邀請到台灣上海同德堂國藥號胡乃文中醫師來探討這很普遍性的令人頭痛的偏頭痛。
-
拔了牙還是痛?三叉神經痛誤診率高醫師教你簡單判斷
2021-09-03 22:02:03張賜興表示,三叉神經是從頸部、臉部到頭部,順著上顎、下顎及眼睛部位共有3條分支,痛起來有如針刺、刀割或電擊,且1天會發生好幾次連續疼痛。由於不容易診斷,導致誤診率高,經常被拔了牙才發現不是牙痛,另外也有部分患者是出現眼睛痛或頭痛症狀。










