8旬嬤腹痛多月!腸套疊與腸癌所致 手術切除順利出院
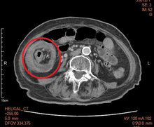
烏日新林醫院大腸直腸外科主任劉添裕說明,成人腸套疊初期多半不易察覺,直到出現腹部劇痛才發現,且90%都有病灶,例如大腸癌、闌尾癌或大腸發炎,會以手術切除為根治主則。(圖/烏日新林醫院提供)
文:陳郁茹(NOW健康)
82 歲陳姓阿嬤,腹脹、腹痛反覆發作長達近3個月,期間體重也減輕5至6公斤,同時伴隨貧血,她到醫院進行住院檢查及輸血治療,結果從腹部電腦斷層看到大常出現腸套疊病兆,醫師緊急進行手術切除,術中發現病人患大腸癌,所幸病理呈現為初期癌症,因此阿嬤術後恢復良好,已順利出院,後續只需要定期追蹤腸癌症狀即可。
患者檢查發現腸套疊 術後病理確認初期癌症
烏日新林醫院大腸直腸外科主任劉添裕表示,患者在做大腸鏡檢查時,在大腸肝曲處出現腸腫瘤,並伴隨部分阻塞,切片檢驗後病理為惡性;另外在進行腹部電腦斷層後,右側大腸腫瘤伴腸套疊在肝曲處,可見呈同心圓腸套疊病兆!因此緊急會診後,接受右半大腸切除吻合手術處理。
劉添裕主任透露,手術中發現患者3公分大腸癌就在右下迴盲瓣上方,套疊到右上方肝曲處,情況相當危急,所幸順利接受右半大腸切除及淋巴腺清除,病理呈現為第1期大腸癌,只需定期追蹤,實屬不幸中的大幸。
大人腸套疊不易發覺 9成皆有病灶
劉添裕指出,腹部急症之一的腸套疊,成人與小兒的腸套疊症狀完全不同,小孩常見於2個月至2歲大,往往會出現草莓果醬紅色大便,伴隨腹脹、腹痛的症狀,但是高達90%找不到病灶,會以鋇劑復位為治療主則;然而成人腸套疊初期多半不易察覺,直到出現腹部劇痛才發現,且90%都有病灶,例如大腸癌、闌尾癌或大腸發炎,會以手術切除為根治主則。
成人腸套疊與其發生位置極其相關,依一般統計,發生在小腸的腸套疊僅1至2成為惡瘤,會嘗試解套再切除,可多保留腸段;而發生於大腸的腸套疊,有5至6成為惡性,建議不解套,直接根治切除為宜。目前腹部電腦斷層檢查,已能迅速提供正確訊息,做正確的術前判讀。建議民眾有相關症狀應提高警覺,盡早至大腸直腸外科檢查治療。
相關新聞
-
大腸癌的預防與調理 原來吃這味就對了 |談古論今話中醫(337)
2025-03-11 15:36:53根據世界衛生組織指出大腸癌為世界癌症死亡的第二大主因,特別是亞裔人群喜歡進食高脂肪食物、肉類,愛抽煙而引起,有遺傳及基因突變得到大腸癌的機會也很大。
-
梅克爾憩室是什麼?醫師帶您認識小腸先天性異常
2019-07-22 15:44:45幼童持續血便且腹痛加劇,家長千萬別大意,因為這有可能是小腸先天性異常。
-
避免大腸癌奪命!民眾把握公費檢查 早期發現存活率高
2023-07-07 21:48:34台灣民眾罹患哪一種癌症人數最多?答案是大腸癌,已連續15年位居國人癌症發生排行榜第1位,109年癌症登記資料顯示,當年度新增1萬6829名大腸癌病友,平均每天47人罹患大腸癌,好發年齡為50歲以上族群,專家提醒,糞便潛血檢查可發現疑似大腸癌早期個案,早期治療,第1期5年存活率超過9成。
-
大腸癌的預防與調理 原來吃這味就對了 |談古論今話中醫(337)
2025-03-11 15:36:44根據世界衛生組織指出大腸癌為世界癌症死亡的第二大主因,特別是亞裔人群喜歡進食高脂肪食物、肉類,愛抽煙而引起,有遺傳及基因突變得到大腸癌的機會也很大。
-
大腸癌難發現!7大特徵助判斷 網友:定期檢查最靠譜
2022-11-08 18:33:34近年來隨著民眾飲食與生活習慣改變,大腸癌發生的機率也逐年增加。然而大腸癌初期症狀並不明顯,且易與其他疾病徵兆混淆,因此了解大腸癌常見症狀,並在有相符情況時多加留意、嚴重時儘早就醫,成為國人重要的課題。 《Social Lab社群實驗室》本次透過《OpView社群口碑資料庫》追蹤近1年網友熱議的「大腸癌症狀」相關話題,帶您了解網友熱議罹患大腸癌後的7大常見症狀有哪些。
-
「大腸癌」晚期!趕快看你的手 這個地方有青筋 那要小心了! |談古論今話中醫(360)
2025-03-20 11:03:27大腸癌,已經6年蟬聯癌症發生人數第1名,幾乎每37分鐘就新增一名大腸癌患者,且這種過去以年長者為威脅對象的疾病,現在也開始撲向年輕人。根據國民健康署統計,國內49歲以下大腸癌發生率在這20年來成長為1.6至1.7倍,成長率幾乎與年長者不相上下,令人膽戰心驚。這一集我們邀請到台灣上海同德堂國藥號主治醫師胡乃文中醫師來探討大腸癌。
-
疏通「大腸經」~排便順了,皮膚自然漂亮 |談古論今話中醫(6)
2016-01-15 11:18:58因為肺跟大腸是一表一裡,兩個經氣都是屬金,它們的經絡是相通的,肺的病至少可以透過大腸來治,舉個簡單例子:氣喘,氣喘是一種很麻煩的病,但是有時候疏通大腸氣喘就好了。
-
廚娘招牌宴客菜「味噌滷大腸」
2019-02-01 10:27:31永康街上有一家和漢料理,幾乎每天都大排長龍,我雖然很少外食,但是這家餐廳是我外食次數最頻繁的餐廳,味噌滷大腸就是它非常受歡迎的一道菜,每次去都會點,唯一的缺點就是分量實在是太少了,大腸切得很秀氣,實在是不夠塞牙縫^__^
-
南州肉丸大腸老店 經營40年家鄉味
2015-01-08 20:29:50在台灣各地有許多道地的小吃,隱藏在市場小巷弄,今天我們要介紹屏東南州一家經營40幾年的老店,專賣傳統肉丸和糯米腸,因為用料實在,成為讓人懷念的家鄉味,連歸國華僑都聞香下馬,專程造訪品嚐 。
-
議員妻罹癌 疑塑化劑酵素惹禍
2011-05-26 21:06:17好,那麼食用含塑化劑產品影響健康的案例很可能已經浮現了。高雄市議員陳政聞的妻子黃偵潔,驚傳2個星期前檢查發現罹患大腸癌,她懷疑7年前開始服用至今的酵素,也含有塑化劑,很可能就是因此得到癌症的元兇,所以今天她親自現身說法,呼籲受害民眾站出來,向消保官投訴。
-
排便不順嗯嗯太過用力嗎?醫示警:小心引發腦出血!
2022-06-01 21:24:0652歲陳先生因腹痛腹脹而掛急診,醫師檢查發現,他血壓偏高,且意識模糊,緊急安排電腦斷層,確診為腦出血,原因在於用力排便時,腹壓和血壓上升,引發腦出血。
-
賀一航抗大腸癌8年 與豬哥亮先後癌逝
2019-06-04 07:28:24再來看到,出道40年的台灣資深藝人賀一航,昨晚因大腸癌病逝,享壽64歲。圈內好友與粉絲都相當悲痛。
-
停經後腹痛出血竟罹患子宮頸癌 女性有這些症狀莫大意
2021-06-11 22:47:33停經女性經常性腹痛,不規則出血是健康警訊。45歲在外商工作的張小姐,雖已停經一段時間,但仍不時有腹痛、出血問題。日前熬夜加班時突然劇烈腹痛到無法走路,趕緊就醫後出人意外確診為第3期子宮頸癌。
-
腸癌患者有「驚腸4作息」!3步驟,遠離腸癌威脅
2016-09-08 17:20:45近年國際研究發現不正常作息影響腸胃菌相確實與大腸癌有關聯。
-
寶寶無故哭不停? 恐腸絞痛作怪
2017-03-19 22:07:49經常碰到小嬰兒哭鬧,卻找不出原因嗎?那很可能是新生兒常見的腸絞痛,醫師表示,有3成的新生兒有這樣的困擾,雖然病因不明,但家長可以透過簡單按摩,來舒緩症狀。
-
四神湯+山珍海味 快手廚娘張麗蓉(264)廚娘香Q秀
2015-09-25 14:23:32吃了可以固賢、補脾、養胃;溫補老少咸宜,一年四季都可以吃。
-
開心農場 碩士農夫的有機人生
2011-04-06 21:54:11今天在我們的「台灣精緻好農業」單元裡,將帶您來看到,苗栗南河的一位碩士農夫,羅文祥,在五年前罹患大腸癌後,體悟到「健康就是幸福」的道理,因此毅然決然的從都市下鄉,投入有機農業生產的行列;而因為羅文祥過去有任職社福機構的經驗,深知弱勢者的艱難處境,所以羅文祥也邀請社會上被視為弱勢的朋友們,一起加入有機耕作的行列。現在就跟著我們的鏡頭,來到開心農場,一起看看羅文祥的「有機人生」。
-
豬哥亮謝金燕聲明 駁病逝謠言要安心休養
2017-03-28 13:01:5970歲藝人豬哥亮,因為罹患大腸癌,去年9月到台大醫院治療,今早有網友發文誤傳死訊;還有媒體爆料,家屬已經在安排後事等傳聞。今天,豬哥亮與女兒謝金燕發表共同聲明,澄清病逝傳聞。謝金燕還說:她已經與爸爸團圓,目前持續陪伴豬哥亮治療,希望大家能給他們一個空間,讓豬哥亮安心治療休養!
-
女性乳癌多 男性肝癌最多
2012-06-21 21:41:46台灣癌症最新統計出爐,前十名以大腸癌居首,其次為肝癌、肺癌,其中男性肝癌人口最多,女性則是乳癌,統計發現,台灣98年每6分2秒就有一人罹癌,人數則較前一年增加7371人。
-
40歲以下罹大腸癌 存活率差
2011-08-24 01:04:39台灣人由於飲食西化比率升高,造成攝取較多高脂低纖的油炸食物,若將男女合計的話,大腸直腸癌已躍升為癌症發生率第一名,醫師表示,四十歲以下罹大腸直腸癌的病人,反而有較惡性的腫瘤型態及較差的存活率。










