醫護人員證明 青年被港警打至腦出血 6小時後才送醫
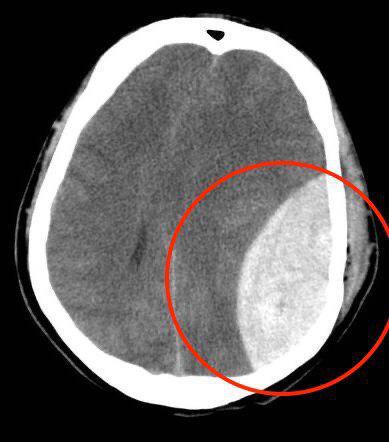
紅圈為血塊。(反送中已核實資訊頻道)
【新唐人亞太台 2019 年 10 月 09 日訊】香港有醫護人員透露,一名青年抗議,遭警方以警棍毆打頭部致顱內出血,拖延6小時後才送醫,如再延遲傷者恐成植物人,甚至可能死亡。
據香港「反送中已核實資訊頻道」週二(10月8日)消息,有醫護向該頻道提供警方濫暴情況。醫護人員披露一名7日晚送院的青年示威者遭警方以警棍毆打頭部,導致顱內出血,血塊占腦部相當大面積,需要立刻手術取出血塊。
醫護人員指,青年從被打傷至送院,警方拖延了6小時才送醫,若再耽誤,傷者恐成植物人,甚至可能死亡。傷者現時在屯門醫院重症治療部留醫,仍未完全清醒。
該醫護進一步表示,即使是殺人犯,面對的處罰亦只是先收監,究竟這個青年做了什麼受到這種對待?當社會大眾譴責示威者破壞港鐵措施,又有幾多人會譴責警方使用過分武力?並且是這種蓄意令人受傷甚至可能死亡的武力。
他呼籲警方不要再對任何人的頭部使用警棍及其它武力。
這位醫護人員還提供了傷者的腦部掃描示意圖,紅圈為血塊。
截至10月8日,港警抓捕民眾:2363人,1847男、516女,年年齡在12-83歲,均以
非法集結、暴動、阻差辦公、POOW、藏有工具擬作非法用途、刑事毀壞、襲警、蒙面、唔除罩等罪名。
轉載自 大紀元
相關新聞
-
國際關切港警暴 18國40名政要聯署「問候」林鄭
2020-01-01 22:31:132020新年第一天,香港還是壟罩在催淚彈的煙霧中,面對港警暴力。從2019年聖誕節至今,香港發生的流血事件再次震驚全球,新年開始,來自18個國家的40名國會議員和宗教領袖,就聯署發布公開信,要求香港特首林鄭月娥,指示警方克制、釋放和平抗爭者、聆聽抗爭者要求、成立獨立調查委員會、重啟政改。
-
港監警會報告被轟偏頗 警宿舍驚見16歲女亡
2020-05-18 09:05:13鏡頭轉到香港,反送中運動開始至今,香港傳出多起死因不明的意外,16日香港警察宿舍抬出1具16歲少女屍體,稱其死因為「吊死」,卻又說初步勘驗「無可疑」;另外,香港監警會報告在15日出爐,但卻被質疑很偏頗。
-
林鄭撐警挨轟 港19日天下制裁遊行 全球25城響應
2020-01-17 20:44:03帶您來看到,香港特首林鄭月娥,昨天(17日)出席立法會答問大會,泛民派議員,把中華民國總統蔡英文跟林鄭拿來對比,痛批林鄭縱容警隊暴力對待年輕人,讓台灣看一國兩制笑話。而港人持續抗爭,這周日要發起「天下制裁大遊行」,但港警只批准在遮打道舉行集會,港人因此串聯全球25個城市,呼籲國際社會制裁中共。
-
港警宿舍驚見16歲女亡 監警會報告被轟偏頗
2020-05-18 20:47:51反送中運動開始至今,香港傳出多起死因不明的意外,16日香港警察宿舍發現1具16歲少女屍體,稱其死因為「吊死」,卻又說初步勘驗「無可疑」。
-
港血色聖誕2天逮200人 記者採訪遭港警辱罵
2019-12-26 20:48:12歡迎回來,香港反送中運動持續,網友在聖誕節號召,在多個大型商場聚集,高呼口號,港警在各大商城瘋狂抓人,光是兩天下來至少抓了兩百人,而香港電台記者在觀塘商場採訪時,被多名港警辱罵,港警還直接嗆記者,「你以為香港真有第四權?」,還把一名《立場》記者的身份證,轉向直播鏡頭展示,香港記協嚴正譴責。
-
要真正平安夜 香港市民多地反警暴、暴政
2019-12-25 07:09:36昨天)是聖誕節前的平安夜。香港人在元朗、沙田、銅鑼灣等多個地方,進行民主抗爭,希望將警察暴力趨離香港,讓港人有真正的平安夜。另外,在理工大學中,成為抗爭者後盾的「廚房佬」施漢恆,昨晚在尖沙咀遭港警逮捕、押走。
-
8.31太子站八個月 港警再抓捕年輕抗爭者
2020-05-01 07:19:02歡迎回來,港人爭取民主的決心,沒有被時間沖淡,紀念太子站「8.31」事件,昨天,有許多市民到太子站外獻花。有市民發起在天水圍的商場舉辦「和你唱」,悼念8.31太子事件。然而香港議員卻拍到,身穿黑衣的警察,在商場外把多名年輕人壓制在地,不透露原因。
-
反送中抗爭半年 港警射各類彈藥共四萬枚
2019-12-09 20:33:52歡迎回來,帶您看到,香港反送中抗爭,在今天(9日)屆滿半年。抗爭至今,港警拘捕了6022人,其中有4成是學生,未滿十八歲的,有946人。並且半年來警方共發射大約1萬6千枚的催淚彈,超過1萬枚橡膠子彈,近2千枚布袋彈和1900多枚海綿彈。各類彈種合計是發射一共四萬枚,數量驚人。
-
香港平安夜不平安!港警瘋狂抓人
2019-12-25 20:30:15一連串的新聞,帶您聚焦香港的情勢。昨天)港人在元朗、沙田、銅鑼灣等多個地方,進行民主抗爭,希望將警察暴力趨離香港,讓港人有真正的平安夜。但最後多人遭捕;在理工大學中,成為抗爭者後盾的「廚房佬」施漢恆,昨晚也在尖沙咀遭港警逮捕、押走。
-
港前警監會副主席梁家傑:監警會報告縱容警暴
2020-05-21 21:32:45鏡頭轉到香港,監警會報告被批評偏袒港警,有曾請辭的海外專家表示,將另行發表報告。公民黨主席、資深大律師梁家傑接受本台訪問時表示,對監警會報告內容感到痛心,認為在縱容警暴。
-
港人超在意台灣大選:守住你們的民主自由
2020-01-07 20:55:31帶您來看到,2020的總統與立委選舉,倒數四天。經歷超過半年反送中抗爭的香港人,對於台灣今年大選,非常關注。他們紛紛呼籲台灣人,要珍惜民主與投票權,站出來投票。
-
港男上海轉機遭遣返 反送中者個資疑洩陸
2019-12-19 07:26:27香港一名曾經因為「反送中」被捕的男子,準備前往巴黎,在上海轉機時,被中共警方遣返。男子質疑港警已將被捕者名單交給中共警方。港媒報導,這名22歲的梁性男子,抵達上海浦東機場時,兩名臂章上寫有「警察」字樣的人士從停機坪上了飛機,並直呼他的全名,然後將他帶走。梁姓男子被帶到一個房間,4、5個人搜查他的行李,並要求他解鎖手機,在發現他手機內有「反送中」照片後,便拿起相機和梁的手機轉身,估計是拍攝他手機上的照片存檔。查完後,梁男被告知,他因為「危害社會安全」,被拒絕入境,原機遣返香港。梁先生表示,自己很少對外透露1
-
【更新】15萬港人1.19集會 警再抓人
2020-01-20 00:16:572020年1月19日,香港民間發起「天下制裁」流水式集會,路線被迫改道。除了香港,全球12個國家亦於今日(當地19日)舉行活動,有的會持續到下週,總共會有超過30個城市舉辦聲援活動,促請各國政府隨美國一道,制裁侵犯人權的香港及中共官員。
-
港418大抓捕 台陸委會:造寒蟬效應.籲回應港人訴求
2020-04-19 00:20:24全球對抗中共病毒疫情,港府今天(18日)突發抓捕「香港民主之父」李柱銘、大律師何俊仁、黎智英等至少15名民主派重要人士。中華民國陸委會下午表示高度關切,認為中共與港府製造寒蟬效應,陸委會呼籲應該落實基本法對人權保障、積極回應港人期待與訴求。
-
專訪!鄭文傑逃離香港:揭中共關押港抗爭公民
2020-01-06 20:48:07帶您看到,前英國駐港領事館僱員鄭文傑,接受《大紀元》專訪。透露在被中共政府居留時,在中國大陸內地看到許多抗爭者,許多人被關押到現在。雖然中共對他各種威脅,並派人跟蹤他,但他最後還是選擇把遭到拘留時的遭遇向媒體曝光,並指出,如果受中共威脅而噤聲,會一生後悔。
-
「國難忠醫」成員廣州被捕 反送中至今七千人被捕
2020-01-17 07:21:33再來關心,香港局勢,香港支持民主抗爭組織「國難忠醫」的一名創辦人化名肥仔,在廣州失蹤多天,15日,肥仔就讀的廣州中醫藥大學 發出通告,稱肥仔是因為嫖娼被捕,對此,「國難忠醫」公開回應稱,「舊手法,不意外」。在中國,中共當局用「嫖娼」罪名拘捕異見人士是常用手法。另外,香港「反送中」運動自6月發生至今,香港警務處長鄧炳強昨天公布,稱警方已抓捕超過7000人,當中1092人被起訴,500多人被控暴動罪。
-
性暴力逼港人向中共低頭?外界疾呼調查究責
2019-12-12 09:25:40香港反送中抗爭至今,港警濫暴事件層出不窮,還傳出性侵抗爭者。匿名港警爆料至少有兩件性侵個案。有外國機構發表報告指出,這些所謂的港警,其實是被派往香港,獲得港府批准的中共警察和安全機構人員。
-
2020剛過7分鐘 港警射催淚彈 作家眼中彈流血
2020-01-01 07:07:25鏡頭轉到香港,港人的跨年倒數活動,昨天以五大訴求與光復香港的口號,取代Happy newyear;然而,2020年剛過7分鐘,港警就對抗爭群眾射出今年首枚催淚彈,同時抓捕市民。有作家眼角中彈流血。
-
中共網軍攻擊蝙蝠女圖 作者:政權遲早崩解
2019-12-12 08:19:22美國漫畫公司「DC」日前刊出一張蝙蝠女角色手持汽油彈的圖片,並寫上The Future is Young(未來是年輕人的),圖片受到中共網軍攻擊後下架。對此,2位創作者葛瑞帕和米勒出面澄清,稱DC撤圖另有原因,因為海報沒有標明作者名稱。他們並為香港抗爭者引用圖片一事感到開心,他們直言:「有些政治實體畏懼『表達』的力量,所以才這麼害怕一張圖片…反正他們遲早也會崩解。」
-
黃之鋒收Google警示「某些政府支援入侵者」竊密碼
2020-06-26 07:39:45好,港人的處境受到國際關注,香港眾志秘書長黃之鋒,昨天(25日)在臉書刊文並附上截圖表示,Google官方向他提醒,他的Gmail帳號可能「受到某些政府支援的入侵者」正試圖竊取他的密碼,建議黃之鋒加入「進階保護計畫」,正值香港國安法立法時機,也引起揣測,Google報告指出,今年4月,Google向全球用戶發出1755條這種警告,但沒有指明是哪些政府。










