關鍵字:黑社會
-
唐山打人案後 公安局前民眾排隊申訴黑幫惡行
2022-06-14 19:07:35唐山打人事件發生後,當地黑惡勢力為非作歹的劣蹟被大量曝光,引起中國輿論關注。而宣示展開全市治安整治的唐山市公安局,今早便聚集上百名民眾手持各種受害的資料,排隊陳情要求徹查。
-
唐山案凸顯警政黑勾結 中共利用轉移封城民怨?
2022-06-14 12:53:18再來關注唐山暴力事件,有多重跡象表明,涉案者與當地政法系官員關係密切,另外,專家分析,唐山案被當局有意宣傳炒作,目的是為了轉移清零之下的民怨沸騰。
-
中國老兵中央軍委維權 137人被抓
2021-09-16 21:28:559月13號,來自全國200多名退伍老兵在北京中央軍委政治信訪處上訪,他們抗議各地軍人事務部沒有妥善處理安置問題,還清零造假,結果有137名老兵當場被抓,至今仍未釋放。
-
中國教育界透視:高校黑幫式查寢 小學生「沒希望」
2021-09-03 12:57:56中國大陸剛剛開學,幾段校園影片被曝光,可以從中窺見,中共體制下中國教育的現狀。
-
香港各界譴責中共暴力 籲支持大紀元
2021-04-13 12:54:57針對香港大紀元時報印刷廠周一被人破壞的流氓行徑,香港各界紛紛表示譴責,並呼籲嚴懲兇徒。
-
中共正廳級迫害法輪功 百億資產和家族同潰散
2021-03-31 20:49:18中共公檢法系統黑社會化問題,二十多年來顯著嚴重;其他黨官也受關注。一些官員以所謂「掃黑除惡」為名,卻充當黑社會保護傘,近日又一例子被爆光。遼寧省正廳級官員徐長元涉黑犯罪,他資產超過百億人民幣,被查封房產近三千套。據悉,徐長元還曾積極參與迫害法輪功。
-
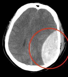
醫護人員證明 青年被港警打至腦出血 6小時後才送醫
2019-10-09 11:08:45香港有醫護人員透露,一名青年抗議,遭警方以警棍毆打頭部致顱內出血,拖延6小時後才送醫,如再延遲傷者恐成植物人,甚至可能死亡。
-
反送中人士再遭襲 香港眾志鄭家朗被3男毆打
2019-09-03 12:53:27香港近日多名反送中要角以及本土派議員遭逮捕,還遭到不明人士毆傷,類似事件在 2 日晚間再度上演。香港眾志副主席鄭家朗,大圍返回住家途中,突被 3 名男子襲擊,數次揮拳襲向鄭家朗的眼部,導致鄭家朗眼鏡都被打飛而受傷,後由眾志成員陪同到醫院驗傷。日前包括香港民陣召集人岑子杰,用餐時遭棒球棍、鐵條襲擊,「光復元朗」發起人鍾健平也在警署附近遭鐵條雨傘襲擊,還有上水遊行發起人梁金成遭不明人士遭撒粉末以及籐條虐打。
-
港警匿名公開信揭密:警黑勾結.高層涉貪
2019-07-31 21:05:27反送中運動,香港警方被指使用過度武力、涉嫌勾結黑社會。30日,網上出現一封警察匿名公開信,指出香港警務正副處長涉貪,副處長涉及勾結元朗黑幫,滲透警隊、接受性賄賂,涉及策劃721白衣人襲擊事件。公開信要求,警隊高層免職下台,並成立獨立調查委員會,調查6月12日等多天的警方部署。同一天,傳出廉政公署,要主動調查警方是否失職。
-
港警包抄清場 示威者退至元朗西鐵站
2019-07-27 20:29:08最新消息,今天大批市民自發前往元朗,抗議上週日(21日)元朗發生的白衣人無差別襲擊市民事件。警方從下午五點開始清場,施放催淚彈,要求民眾散去。雙方繼續對峙,晚上7點18分,警員開始向示威者方向前進,還移開示威者所築成的路障,舉出黑旗。在7時25分,警方開始向元朗西鐵站方向推進,示威者向西鐵站方向後退。
-
港逾萬人元朗遊行 防暴警多次釋放催淚彈清場
2019-07-27 20:04:17新聞頭條,先關注香港反送中運動,上周日發生元朗暴力事件,大批白衣暴徒無差別攻擊香港市民。今(27)日香港網友發起「光復元朗」大遊行,雖遭警方發出反對通知書,仍有上萬民眾自發前往,擠爆元朗。
-
前輩喊話林鄭:容忍黑社會等於自尋死路
2019-07-24 12:49:24再來看到,曾經是香港特首林鄭月娥的職場前輩,香港資深退休高官 梁建邦,接受本台專訪,他表示,容忍黑社會等於「自尋死路」。
-
元朗白衣人無差別攻擊路人 港警不作為挨轟
2019-07-23 20:44:347月21號,香港「民間人權陣線」再次舉辦反送中大遊行。遊行結束後,晚間抗議者遭到警方暴力清場,同時元朗也出現疑似黑社會的白衣人暴力毆打手無寸鐵的市民,但香港警方卻遲遲不到場處理,遭到質疑。直到昨天(22日)晚上,港警逮捕了6名與事件有關人士。據報導,他們大都有黑幫背景。
-
港母親哭遇黑幫無助 港警拍肩白衣畫面流出
2019-07-23 12:41:12香港元朗周日(21日)發生黑幫無差別毆人事件,有一名香港母親受訪時無助表示,黑幫打人不分衣服顏色,當下報案電話完全打不進去;而元朗警隊指揮官李漢民,當晚不只遲來,還被拍到與一群白衣人士拍肩溝通的場面。
-
港民主派譴責元朗襲擊事件 特首稱依法追究
2019-07-22 20:11:23香港新界西鐵元朗站,昨天晚上,有超過千位,被懷疑是黑社會的「白衣人」,追打疑似參與完反送中遊行的黑衣人士,造成45人受傷,其中一人危殆。民主派議員,今天召開記者會,強烈譴責警方縱容疑似黑社會人士毆打市民,要求警務處處長盧偉聰立即下台。
-
影片為證! 港警縱黑幫毆反送中 45傷1命危
2019-07-22 20:07:58一連串火線新聞來看到,香港43萬人上街遊行反送中,夜裡卻有上千名穿白色上衣的人士,在元朗集結,在街頭、地鐵站,持棍棒鐵條追打手無寸鐵的市民,不分男女老少,懷孕婦人也倒地,造成45人受傷,包括議員、記者,其中一人命危、四人重傷。暴力事發前,市民發現警方離場;警方很晚才到現場,卻沒有逮捕任何施暴的白衣人。事後,警方說是兩派人政見不合的「紛爭」,但港府卻譴責上環的反送中民眾是「暴力」,被質疑標準差很大。
-
【直播】香港黑幫元朗毆打反送中 特首林鄭月娥記者會
2019-07-22 14:58:25香港43萬人上街遊行反送中,夜裡卻有上千名穿白色上衣的人士,在元朗集結,在街頭、地鐵站,持武器棍棒追打手無寸鐵的市民,不分男女老少,懷孕婦人也倒地,造成45人受傷,包括議員、記者,其中一人命危、四人重傷,事後竟然無人被捕,香港警方被質疑縱嫌,香港特首林鄭月娥22日下午三點召開記者會,回應外界質疑。
-
中共第五縱隊?台政要關切中共控制港台黑幫
2019-07-22 13:12:39香港黑幫公然毆打反送中民眾,港警與港府的態度引起強烈質疑。台灣朝野關切與譴責,外交部長吳釗燮推特發文喊話港府要保護人民;時代力量立委 徐永明關注中共控制香港與台灣黑幫的情況。
-
元朗反送中遭襲案 港黑幫大老心臟病發倒地
2019-07-22 12:39:55香港反送中民眾在元朗港鐵站遭大批白衣人圍毆,外界懷疑港警勾結黑幫,網路流傳一段影片,指出帶頭圍毆市民的黑幫大老 飛天南,在打人時突然心臟病發,有港人留言說,這是惡有惡報!不過,目前飛天南仍然生死未卜,還有待進一步核實。
-
影片為證 港警縱黑幫毆反送中 45傷1命危
2019-07-22 12:36:35接著聚焦,星期天,香港43萬人上街遊行反送中,夜裡卻有上千名穿白色上衣人士,在元朗集結,在街頭、地鐵站,持棍棒鐵條追打手無寸鐵的市民,不分男女老少,懷孕婦人也倒地,造成45人受傷,包括議員、記者,其中一人命危、四人重傷。暴力事發前,市民發現警方離場;警方很晚才到現場,卻沒有逮捕任何施暴的白衣人。事後,警方說是兩派人政見不合的「紛爭」,但港府卻譴責上環的反送中民眾是「暴力」,被質疑標準差很大。
-
港721反送中遭白衫暴徒襲擊 台外長喊話港府護人民
2019-07-22 09:42:57香港7月21日43萬人上街反送中,發生黑社會持武器追打反送中民眾,包括議員、記者、孕婦都是被攻擊對象。中華民國外長吳釗燮22日上午9點多發推文,喊話實施真普選,強調「必須保護人民的自由與人權」。
-
廣東拆遷戶被圍困 斷食水逾一週
2017-07-13 21:25:23中國再傳政府徵地強拆糾紛。 廣東順德大良逢沙村 ,因徵地拆遷補償過低,很多村民拒絕搬遷,當地政府出動 黑社會手段逼遷,本月5號起圍困拒絕搬遷的居民,不僅斷水斷電,還斷絕外界供應食物。
-
胡佳:應撤銷中國最大黑社會政法委
2012-07-10 21:35:45北京著名維權人士胡佳,近日投書《華盛頓郵報》,指出中國民主停滯不前,誰人接任新國家領導人並不重要,人民才是政治改革的關鍵;他在接受本台記者採訪時說,中共政法委系統是中國最大的黑社會組織,這個機構不撤銷,侵權事件將層出不窮。
-
廣西政府強佔地 農民護地受重傷
2011-12-31 21:25:28近日有中國廣西桂林興安縣農民向本台記者投訴,縣政府強佔農民土地,賣給開發商,斷水斷電並強行施工,12月6日早上,秦莉瓊一家人護地時,被開發商雇用的黑社會暴打,導致秦莉瓊和4位家人受到重傷。
-
湖北立功軍人 遭政府暴力逼遷
2011-07-14 21:18:54關心中國新聞報導。家住湖北省武漢市的一名軍人王俊,在中越戰爭中曾經立過二等功,現在卻被當地政府強拆逼遷,還被黑社會成員砍成重傷。王俊申訴無門,他認為現在的政府是公然與人民為敵。
-
河北村支書僱用黑社會強佔農田
2011-06-28 14:09:48小宋莊村的村支書孫興利今年3月強佔村裡40多畝農田 ,河北村支書僱用黑社會強佔農田
-
廣州冼村動用黑社會 暴力強拆民房
2011-04-16 22:23:46中國廣州天河區冼村日前發生當地村委出動上百黑社會分子,將民房斷水斷電進行強拆,鎮壓反抗的村民,村民反映,因為賠償條件不合理不願搬遷,多次上訪都沒有得到解決,政府就動用黑社會暴力拆房。
-
河南村民舉報黑礦慘遭毒打住院
2010-12-13 20:59:25趙振鋼舉報當地黑煤礦 老闆僱傭黑社會報復
-
中國西安雙橋頭村遭黑社會逼遷
2010-12-04 21:13:17目前全村200多人失去人身自由
-
黑龍江伊春市政府僱用黑社會強拆民房
2010-07-24 23:33:50近日有中國黑龍江省伊春市民眾向本臺記者投訴,當地政府持續強拆民房,並僱用黑社會人士,強行剷平受害者家園,包括受害者賴以維生的作物和商店,受害家庭求助無門,從此生活陷入困境。
-
廣東計生辦僱用黑社會打劫老百姓
2010-06-14 03:46:58中國廣東樂昌市雲岩鎮計生辦,除了罰款外還僱用黑社會人員打劫老百姓,不僅拿走所有值錢的東西還強拆房子,並曾非法關押超生的小孩致死,受害民眾投訴無門,每天過著提心弔膽的日子。





隨處可看新唐人